The Fundamentals of Transmission Electron Microscopy
Transmission Electron Microscopy (TEM) is a cornerstone of modern scientific imaging, enabling researchers to examine structures at the atomic scale. Whether it's analyzing the ultrastructure of biological cells or studying the surface of nanomaterials, TEM provides unmatched clarity and resolution. This article dives deep into the transmission electron microscopy principle, major applications, and its pivotal role in nanoparticle characterization. Transmission Electron Microscopy (TEM) is a pivotal analytical technique that has significantly influenced modern science and technology since its invention by Ernst Ruska in 1931, for which he received the Nobel Prize in Physics in 1986. TEM has become an indispensable tool across a wide spectrum of scientific fields including physics, materials science, biology, and soft-matter chemistry due to its extraordinary ability to visualize structures at scales ranging from micrometers down to individual atoms. TEM operates by transmitting a high-energy beam of electrons through an ultra-thin specimen. As electrons interact with the internal structure of the sample, they scatter in ways that form high-resolution images, revealing detailed morphological, structural, and crystallographic information. Because of the short wavelength of electrons compared to light, TEM achieves much higher spatial resolution than conventional optical microscopy. Historically, TEM has played a foundational role in several scientific milestones: the structural elucidation of eukaryotic cells, the understanding of the nervous system, the formulation of the sliding-filament theory in muscle biology, and the identification of viruses as discrete particles—contributions that underscore its power in both discovery and diagnostics. Over time, continuous technical advancements have dramatically expanded TEM’s capabilities. Innovations such as cryo-electron microscopy (cryo-EM), direct electron detectors, phase-plate technology, and computational image processing have not only enhanced image quality and resolution but also reduced sample damage, enabling near-native visualization of sensitive biological and soft-matter systems. Notably, cryo-EM has been a key driver in structural biology’s so-called "resolution revolution," culminating in a Nobel Prize in Chemistry in 2017. Despite its success in structural biology, TEM remains underutilized in soft-matter chemistry, where it holds immense potential. Soft-matter systems—such as polymers, gels, vesicles, and other self-assembled nanostructures are particularly challenging due to their sensitivity to vacuum and radiation. However, advanced sample preparation techniques (e.g., vitrification and cryo-FIB milling) and low-dose imaging strategies now allow TEM to investigate these delicate systems with unprecedented clarity. The core strength of TEM lies in its versatility and depth: it can capture real-space images, diffraction patterns for crystallography, and even 3D reconstructions via tomography and single-particle analysis. Importantly, TEM can provide both qualitative and quantitative insights into material structure, phase, composition, and dynamics. Transmission Electron Microscopy is not merely an imaging method but a transformative research platform that continues to evolve. For soft-matter chemists, embracing TEM especially in its modern cryo-EM form promises a new era of structural insights and materials innovation. TEM operates by transmitting a beam of electrons through an ultra-thin specimen. As electrons pass through the material, they interact with atoms, producing various signals that can be captured and used to form detailed images. Transmission Electron Microscopy (TEM) is a high-resolution imaging technique that uses a beam of electrons to visualize the fine structure of materials, including biological and soft-matter specimens. The technique is founded on the interaction between electrons and the atoms in a thin sample, where transmitted and scattered electrons are used to form detailed images. TEM uses high-energy electrons (typically 80–300 keV) as the imaging source. According to quantum mechanics, electrons exhibit wave-particle duality, meaning they behave both like particles and waves. The wavelength of an electron decreases as its acceleration voltage increases, enabling extremely fine spatial resolution—far beyond that of light microscopes. Electrons are optimal for studying matter because they: Interact strongly with atomic structures via scattering. Can be focused using electromagnetic lenses. Include structural phase information, unlike diffraction-only techniques like X-rays. Once electrons hit the sample, two types of scattering occur: No energy loss occurs. These electrons provide high-resolution information. Scattering depends on atomic number (Z); elastic scattering ∝ Z⁴⁄³. Electrons lose energy to the sample. This leads to radiation damage and image noise. Inelastic scattering ∝ Z¹⁄³. Only elastically scattered electrons contribute to fine structural detail; hence, minimizing inelastic scattering is crucial. A TEM image is produced by the interference of electron waves that have interacted with the sample: The electron beam is focused by condenser lenses and directed through a thin specimen. Scattered and unscattered electrons pass through objective and projector lenses. These lenses form a magnified image on a screen or detector. Contrast arises from differences in how electrons are scattered, which depends on mass, thickness, and composition of the material. TEM provides two primary types of image contrast: Dense or heavy atoms scatter electrons more strongly and appear darker. An objective aperture can block highly scattered electrons to enhance contrast. Used especially in soft-matter imaging. Formed by slight defocusing, which introduces phase differences between scattered and unscattered waves. Enhanced by tools like phase plates. Key components of a TEM system include: Electron Source (thermionic or field emission gun) Electromagnetic Lenses (condenser, objective, projector) Apertures (to control beam shape and contrast) Specimen Holder (requiring ultrathin samples) Detector (e.g., CCD or direct electron detector) Modern instruments include tools like Cs-correctors, monochromators, and energy filters to enhance coherence and reduce aberrations. Vacuum System: Prevents electrons from scattering off air molecules. Sample Thickness: Should be <100 nm to allow electrons to pass through. Radiation Sensitivity: Soft matter requires low-dose imaging to minimize damage. Resolution: Can reach below 0.1 nm under optimal conditions. A Transmission Electron Microscope (TEM) is composed of highly specialized components arranged in a vertical column. Each part plays a distinct role in generating, focusing, and detecting electrons to form high-resolution images of thin samples. Below is a detailed overview of each component with a short introductory description. Understanding the basic layout of a TEM helps users appreciate how its components support its high-resolution imaging. The electron gun is the heart of the TEM, responsible for producing the high-energy electron beam needed for imaging. Generates a beam of electrons by heating a filament (thermionic emission) or using an electric field (field emission). Thermionic Guns: Use tungsten or LaB₆ filaments; economical but lower brightness. Field Emission Guns (FEGs): Cold FEG: Very bright and coherent but sensitive to contamination. Schottky FEG: Offers stability and high brightness; widely used in modern TEMs. Key Qualities: High brightness, coherence, and stability are essential for atomic resolution imaging. The condenser lenses focus and shape the electron beam before it hits the sample. Control the beam diameter, convergence, and illumination angle. Adjusts current and helps manage beam spread and coherence. Provides uniform illumination and prepares the beam for interaction with the sample. This is the most critical lens in the microscope as it forms the primary magnified image of the sample. Collects electrons after they pass through the sample and creates the first real image. Its performance strongly influences resolution and contrast. Most affected by spherical and chromatic aberrations. These lenses enlarge the image formed by the objective lens for viewing or recording. Further magnify the intermediate image up to hundreds of thousands of times. Delivers the image to the viewing screen or detector system. Apertures are small metal disks with holes that control the path and angle of electrons. Condenser Aperture: Shapes and limits the beam. Objective Aperture: Enhances image contrast by blocking scattered electrons. Use: Critical for optimizing resolution, depth of field, and reducing lens aberrations. This component precisely holds and positions the sample in the beam path. Supports ultrathin samples (usually <100 nm thick). Tilting: For 3D imaging or crystallography. Cooling (Cryo-TEM): Preserves delicate biological or soft-matter samples. In-Situ Holders: Allow experiments under varying conditions (heating, gas, liquid). A high-quality vacuum is essential to prevent electron scattering and contamination. Maintains vacuum throughout the column to allow free travel of electrons. Ultra-high vacuum at the electron source. High vacuum in the specimen and imaging areas. Prevents interactions with air molecules and maintains image clarity. Converts the electron image into a visible or digital form for observation and analysis. Fluorescent Screen: Traditional real-time viewing. CCD Camera: Indirect detection via scintillators; good for general use. Direct Electron Detectors (DDD): High-speed, low-noise sensors that directly capture electrons for superior resolution. Enable time-resolved imaging and motion correction in cryo-EM. Used in advanced TEMs for improved contrast and compositional analysis. Filters out inelastically scattered electrons that degrade image contrast. Electron Energy Loss Spectroscopy (EELS) Energy-Filtered TEM (EFTEM) Location: Can be in-column or post-column. The modern TEM is controlled via sophisticated computer systems for precision and automation. Automated alignment and focusing. Exposure and dose control. Tomography and tilt-series acquisition. Enables real-time image processing, reconstruction, and 3D modeling. Additional features may include energy-dispersive X-ray spectroscopy (EDX) and electron energy loss spectroscopy (EELS) for compositional analysis. Transmission Electron Microscopy (TEM) offers ultra-high-resolution imaging of internal structures of biological and material samples. But before any specimen meets the powerful electron beam, it must undergo a carefully controlled and multi-step sample preparation process. This is crucial because the vacuum environment and high-energy electrons can easily damage unprepared samples, especially soft or hydrated materials. Sample preparation is critical due to the requirement for ultra-thin specimens (typically <100 nm thick). Common preparation methods include: Ultramicrotomy for biological samples Ion milling for metals and semiconductors Drop casting and drying for nanoparticles Specimens must be stable under vacuum and resistant to electron beam damage for optimal imaging. To preserve the structural integrity of the specimen by stabilizing cellular components. Primary Fixation: Usually with glutaraldehyde in phosphate buffer to cross-link proteins. Post-fixation: Often with osmium tetroxide, which stabilizes lipids and enhances contrast. This step essentially "locks" the specimen in its current state, preventing decay and deformation. Water must be removed to prevent collapse in the vacuum of the TEM column. Done using graded acetone or ethanol series (e.g., 40% → 70% → 90% → 100%). Gradual dehydration avoids structural distortion and osmotic shock. Gradual replacement of dehydrating agent with a resin that supports the sample. Accomplished by mixing epoxy resin with acetone in increasing ratios until only resin remains. Ensures that every part of the tissue is embedded and protected. Embed the sample in a hard resin (e.g., Epon) that can be sectioned ultrathin. The resin is poured into molds along with the sample. Placed in an oven at 70°C to polymerize into solid blocks. To produce ultra thin slices (50–100 nm) thin enough for electrons to pass through. Done using an ultramicrotome with a diamond knife. Sections float on water and are collected onto 3 mm copper grids. Enhance contrast since biological tissues are mostly electron-transparent. Typically uses uranyl acetate and lead citrate. These heavy metals bind to cellular structures and scatter electrons to improve visibility. For delicate or hydrated specimens, cryo-fixation is a gentler alternative: Plunge Freezing: Sample rapidly frozen in liquid ethane to prevent ice crystal formation. High-Pressure Freezing: Used for thicker samples, applying pressure to vitrify the tissue. May be followed by freeze substitution or cryo-sectioning. Negative Staining: Ideal for viruses, proteins, and nanoparticles. Uses heavy metal salts to provide background contrast. Shadow Casting: Adds 3D-like contrast by evaporating metal at an angle onto the sample. Freeze Fracture: Physically splits frozen samples to reveal internal structures, useful in membrane studies. Most reagents used—like osmium tetroxide, glutaraldehyde, and resins—are toxic or carcinogenic. Proper lab safety protocols and PPE are essential. TEM is employed to examine the internal architecture of cells and different biological substances. It depends on the passage of electron beams through the sample to create images, which are generated using fluorescent screens. The primary objective of Transmission Electron Microscopy (TEM) is to achieve high-resolution imaging of the internal structure of materials—down to the atomic or molecular scale. By using a beam of electrons instead of light, TEM can resolve features thousands of times smaller than what is possible with optical microscopes. Visualize the ultrastructure of biological cells, viruses, and organelles. Analyze the morphology and crystallography of materials at the nanoscale. Reveal the arrangement of molecules in soft matter and polymers. Support scientific discovery by enabling 2D and 3D visualization of self-assembled and responsive materials. Aid medical and pharmaceutical research by elucidating virus structures and drug delivery systems. Historically, TEM has been instrumental in founding entire scientific fields like cell biology, virology, and structural biology. Today, it continues to evolve—particularly with cryo-electron microscopy (cryo-EM) offering unparalleled insights into soft-matter systems and biomolecular architectures. In short, TEM serves as a window into the nanoworld, enabling researchers to see the unseen, analyze material properties, and make informed decisions in disciplines ranging from biotechnology to materials science. Understanding how a Transmission Electron Microscope (TEM) forms images is essential to appreciate why it can visualize structures down to the atomic level. Unlike light microscopes that use photons, TEM uses a focused beam of electrons, which behave both as particles and waves. Electron beam passes through an ultrathin sample. Electrons interact with atoms in the sample via scattering: Elastic scattering (no energy lost): carries high-resolution information. Inelastic scattering (energy lost): contributes noise and radiation damage. Scattered and unscattered waves interfere, creating patterns. Lenses magnify this interference pattern into a visible image on a screen or camera. This interference—similar to ripples overlapping on a pond—can be constructive (bright spots) or destructive (dark spots), revealing intricate internal structures. Resolution in TEM is the smallest distance between two points that can be distinguished. Several factors influence it: Electron Wavelength: Shorter wavelengths (higher voltages) = better resolution. Lens Aberrations: Imperfections like spherical and chromatic aberrations blur images. Coherence of Electron Source: More coherent (uniform) beams produce sharper images. Sample Thickness: Thicker samples lead to multiple scattering events, reducing clarity. Radiation Sensitivity: Soft-matter samples can degrade under high doses, limiting usable resolution. Modern TEMs achieve sub-angstrom resolution, especially with Field Emission Guns (FEGs), aberration correctors, and direct electron detectors. TEM uses two primary types of contrast: Heavier atoms scatter more electrons. Useful for distinguishing materials with different atomic numbers. Arises when electron waves are slightly out of phase due to interaction with the sample. Dominant in biological and soft-matter samples where atoms are light. To enhance contrast, defocusing or advanced techniques like phase plates may be used. TEM image formation is a blend of quantum mechanics and precision engineering. Electrons scatter, interfere, and form patterns that—when processed—can unveil the deepest structural secrets of materials, from nanostructures to organelles. Resolution is not just about sharpness—it's a balance of physics, technology, and sample limitations. Transmission Electron Microscopy (TEM) isn’t just about seeing things smaller—it’s about seeing the invisible, uncovering the ultrastructure of materials and biological specimens at the nanoscale. Thanks to its angstrom-level resolution, TEM has become a cornerstone in both scientific research and industrial innovation. Here are some of the most impactful applications of TEM across fields: TEM is invaluable for visualizing: Cellular ultrastructure: Organelles, membranes, and virus particles, Protein complexes and supramolecular assemblies like ribosomes and chaperonins, Virus morphology, used in vaccine development (e.g., SARS-CoV-2), Cryo-TEM (cryo-EM) enables imaging of hydrated, vitrified biological specimens in near-native states, now a Nobel-winning technique. Example: TEM images of negatively stained actin filaments have been reconstructed to atomic-level models, matching X-ray crystallography data. Using dark-field STEM (Scanning TEM), TEM can measure the mass of: DNA strands Ribosomes Virus heads Protein complexes This mass mapping method allows scientists to understand structural integrity, stoichiometry, and biological function at the nanoscale. TEM plays a key role in: Crystallography and defect analysis in metals and semiconductors, Nanoparticle characterization (size, shape, distribution), Failure analysis in microelectronics, Phase identification in alloys and ceramics. With electron diffraction and high-resolution imaging, TEM reveals grain boundaries, dislocations, and crystal structures with atomic precision. Study of liposomes, nanocarriers, and drug encapsulation systems. TEM helps verify morphology, distribution, and biodegradability. Especially useful in nano-medicine and targeted therapy development. TEM equipped with Electron Energy Loss Spectroscopy (EELS) or Energy Dispersive X-ray Spectroscopy (EDX) enables elemental analysis down to single atoms. Map calcium in cells, Identify heavy metal labels (e.g., gold clusters), Analyze compositional heterogeneity in nanomaterials. Gold-labeled antibodies can be visualized to localize specific antigens or biomolecules within cells. Key for immuno-TEM studies that combine structural and molecular information. Inspection of nanotubes, quantum dots, and nano-composites. Critical in device fabrication, battery technology, and sensor development. Transmission Electron Microscopy (TEM) is one of the most powerful tools for studying nanoparticles—especially within biological environments. With its ultra-high resolution (down to 0.2 nm), TEM allows scientists to observe not just the structure of nanoparticles but also their interactions with cells, tissues, and organelles. Nanoparticles are key components in drug delivery, imaging, diagnostics, and therapeutics. To ensure their safety and functionality, researchers must investigate how these particles: Enter and move through cells (uptake and trafficking), Interact with subcellular components, Degrade or persist inside biological systems. TEM provides direct visual evidence of these processes, often without the need for labeling or staining. TEM allows researchers to observe how nanoparticles enter cells (endocytosis, phagocytosis, or membrane fusion) and their routes inside, including: Endosomal escape, Cytosolic release, Organelle interactions, Nuclear entry (in some cases). This level of detail is unmatched by other imaging methods. By capturing sub-lethal signs of cellular stress or organelle damage, TEM helps evaluate the toxicity and biodegradability of nanoparticles. Visualization of lysosomal degradation, Tracking of persistent residues, Evidence of cellular repair or stress responses. Researchers use TEM to determine where nanoparticles accumulate in tissues and how they are cleared over time, crucial for evaluating safety in vivo. Because many organic nanoparticles (like liposomes or chitosan) are hard to detect due to low electron density, advanced techniques are used: Osmium tetroxide staining (for lipids) DAB photooxidation (for fluorescently labeled particles) Alcian blue staining (for hyaluronic acid-based particles) Immunogold labeling (for specific molecular identification) These histochemical tools increase contrast and visibility in TEM images. TEM bridges the gap between nanoscale materials and living systems. For nanoparticles, it offers a direct window into biological interactions—from internalization to clearance. As nanomedicine advances, TEM will remain a key player in designing safer, smarter, and more effective nanotechnologies. Transmission Electron Microscopy continues to be a transformative tool in scientific discovery. From its core principles to its advanced role in analyzing nanoparticles, TEM stands at the forefront of microscopy technology. As it evolves, TEM is set to unlock even deeper insights across disciplines, from medicine to quantum physics. TEM transmits electrons through a thin sample. Interactions between the electrons and the sample form a magnified image based on scattering patterns. TEM is used in biology, materials science, nanotechnology, semiconductors, and more for structural and compositional analysis at atomic resolution. TEM allows detailed analysis of nanoparticle size, shape, crystallinity, and dispersion—crucial for optimizing performance in medical, energy, and industrial uses. No, due to the high vacuum and electron beam, samples must be fixed or frozen. Cryo-TEM, however, allows near-native imaging of biological specimens. TEM images the internal structure at atomic resolution by transmitting electrons, while SEM scans the surface to produce 3D-like images at lower resolution. TEM operation requires specialized training due to complex alignment, imaging, and interpretation processes. However, modern systems are becoming more automated._1.png)
1. Introduction
2.Transmission Electron Microscopy Principle
2.1 Electron Beam and Wave-Particle Duality
2.2 Electron-Sample Interactions
Elastic Scattering:
Inelastic Scattering:
2.3 Image Formation in TEM
2.4 Contrast Mechanisms
Scattering Contrast:
Phase Contrast:
2.5 Instrumentation Essentials
2.6 Technical Considerations
3. Instrumentation and Components
3.1 Electron Source (Electron Gun):
Function:
Electron Gun Types:
3.2 Condenser Lens System
Function:
Condenser Aperture:
Importance:
3.3 Objective Lens
Function:
Quality:
Aberration Sensitivity:
3.4 Projector Lenses
Function:
Final Output:
3.5 Apertures
Apertures Types:
3.6 Specimen Holder and Stage
Function:
3.7 Vacuum System
Function:
Zones:
Importance:
3.8 Imaging and Detection System
Types:
Advanced Features:
3.9 Energy Filters (Optional Component)
Function:
Techniques Supported:
3.10 Control and Software Systems
Capabilities:
Software:
4. Sample Preparation in TEM
Here’s a step-by-step overview of how samples are prepared for TEM, particularly in biological research:
4.1 Fixation:
4.2 Dehydration
4.3 Infiltration
4.4 Embedding
4.5 Sectioning
4.6 Staining
4.7 Alternative: Cryo-Preparation
4.8 Bonus Methods
4.9 Safety Note
5. Objective of TEM:
In practical terms, TEM aims to:
6. Image Formation and Resolution
6.1 At its core, a TEM image is the result of electron wave interference:
6.2 Resolution: What Limits the Clarity?
6.3 Contrast Mechanisms
Scattering Contrast:
Phase Contrast:
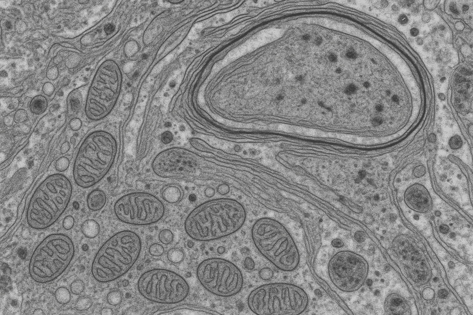
_1.png)
7. Transmission Electron Microscopy Applications
7.1 Biological Research and Structural Biology
7.2 Mass Measurement of Macromolecules
7.3 Materials Science
7.4 Pharmaceuticals and Drug Delivery
7.5 Chemical and Elemental Mapping (EELS/EDX)
7.6 Virology and Immuno-Labeling
7.7 Nanotechnology and Advanced Manufacturing
_1.png)
8. Transmission Electron Microscopy for Nanoparticles
8.1 Why Use TEM for Nanoparticles?
8.2 Applications of TEM in Nanoparticle Research
1. Uptake and Intracellular Trafficking
2. Degradation and Biocompatibility
3. Biodistribution and Clearance
8.3 Enhancing TEM Imaging for Nanoparticles
10. Conclusion
11. FAQs
1. What is the basic principle of transmission electron microscopy?
2. What are the main applications of TEM?
3. How does TEM help in nanoparticle research?
4. Can TEM be used to analyze living cells?
5. What’s the difference between TEM and SEM?
6. Is TEM difficult to operate?
Recent Posts
Sequence Alignment plays a vital role in the subsequent analysis of NGS data, where millions of sequenced DNA fragments (reads) need to be aligned with a chosen reference sequence in a timely manner.
FASTQ files serve as the “raw data files” for any sequencing application, indicating that they are “unaltered.” Consequently, this file format is utilized for performing Quality Checks on sequencing reads. The Quality Check process is typically carried out using the FastQC tool developed by Simon Andrews from Babraham Bioinformatics.
FASTA format is a text-oriented format utilized for depicting either nucleotide sequences or peptide sequences, where nucleotides or amino acids are denoted by a single-letter code.
Mammalian expression systems enable the production of complex, functional recombinant proteins with proper folding and post-translational modifications. These systems are ideal for studying human proteins in a near-native environment, offering advantages in scalability, gene delivery, and purification. HEK293 and CHO cells remain the most widely used hosts, supporting both transient and stable expression strategies for academic and pharmaceutical applications.
Gas Chromatography (GC) stands as one of the most powerful and versatile analytical techniques used to separate and analyze compounds in complex mixtures. At its core, GC enables the identification and quantification of chemical substances based on their molecular composition and retention behaviors during migration through a chromatographic column.